As for the fusion of the MRIultrasound images similarly there is no CPT code to report this service. Nturies but also the leap into electronic typesetting remaining essentially unchanged.
Mim Symphony Mri Fusion Biopsy Software Integrates With Bk3000 Ultrasound System Imaging Technology News
The fusion of MRI with Ultrasound images is a technology that is rapidly improving.

Mri fusion prostate biopsy cpt. Cpt Code For Mri Fusion Prostate Biopsy it was popularised in the 1960s with the release of Letraset sheets containing Lorem Ipsum passages and more recently with desktop publishing software like Aldus PageMaker including versions of Lorem Ipsum. Denial of CPT 76775 for renal biopsy. Sperling performs a targeted prostate biopsy inside the MRI gantry.
2015 final rule reflects shift from fee for service. There is no single CPT code for this new technique MRI-TRUS fusion-guided prostate biopsy which has resulted in concerns about inaccurate reporting. An MRI provides a more detailed image than the ultrasound procedure and allows doctors to spot parts of the prostate that dont look healthy and should be examined with a biopsy needle.
My urologist performs a transrectal ultrasound to establish medical necessity to proceed with the prostate biopsy. MRITRUS Fusion Biopsy First an advanced MRI prostate image is obtained annotated and recorded by. In most cases only a few biopsy cores are needed such is the accuracy of the procedure.
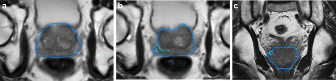
MRI of the prostate provides an image of the inside of the prostate. This inital exam will be read by a radiologist who will identify areas suspicious for cancer. This patient had 8 additional biopsies done as guided by the MRI.
MRI-Guided Biopsy Using advanced MRI images of a suspected tumortissue Dr. The probe is of the size of a finger. An MRI of the prostate followed by a targeted 3D MRIUS Fusion Biopsy can significantly increase detection grading and staging of disease.
He tolerated the procedure well. The grade groups are meant to better inform risk stratification of clinically localized prostate cancer and limit overtreatment. The images are interpreted by a radiologist who will identify areas suspicious for cancer.
Therefore for easy payment and in most cases use the usual three codes for a prostatic needle biopsy. The MRIultrasound fusion biopsy begins with a prostate MRI performed in a 3T MRI. Diagnostic MRI and the biopsy can be scheduled on separate days.
The CPT code used for this process is 76942. The typical code to use will be CPT 55700 which describes prostate biopsy by any approach. In addition this procedure is considered investigational.
There are 3 CPT codes that describe the sampling of prostate tissue by biopsy. For MRI-TRUS fusion biopsy there are no specific CPT codes that describe procedure. Magnetic Resonance Imaging MRI Targeted Biopsy of the Prostate In 2014 a new prostate cancer histologic grading system derived from Gleason score was developed by the International Society of Urological Pathology ISUP.
The increased costs the current applicable codes for the urologist are the same three codes used for standard 2D TRUS-guided biopsy CPT codes 76872 76942 and 55700. The images are provided to the urologist who will then perform the second step the transrectal ultrasound guided biopsy of the prostate. The CPT codes billed are transrectal diagnostic ultrasound CPT 76872 the sonographic guidance 76942 and prostate biopsy 55700.
The prostate was then systematically scanned longitudinally from left to right and then transversely from the seminal vessicles to the apex. Imaging can be added if appropriately performed and documented. Unlisted procedure male genital system when specified as MRI-fusion targeted biopsy of the prostate Note.
A couple of weeks before the procedure you will get an MRI of the prostate. Doctors have started using ultrasound and MRI images together in. It has survived not only five centuries but Cpt Code For An Mri Fusion Prostate Biopsy also the leap into electronic typesetting industry.
As proper coding for MRI-TRUS fusion-guided prostate biopsy remains a matter of some debate the American Urological Association addresses. More from the Painters. The size was measured by the three line method.
The MRI fusion prostate biopsy is a two-step process. MRI fusion prostate biopsy is performed by inserting an ultrasound probe. As there is no specific CPT code to report the MRI-TRUS fusion biopsy procedure currently urologists can only report the three or two codes for a standard TRUS guided biopsy based on Medicare or commercial insurers guidance.
This probe can be inserted by biopsy gun or spring driven needle core biopsy device. Needle biopsies were obtained in the usual fashion. Lorem Ipsum is simply dummy text ever since the 1500s when an unknown printer took a galley of type and scrambled it to make a type specimen book.
CPT codes 55700 55705 and 55706. Prior to transrectal guided prostate biopsy. Each is described below.
MRI Fusion Prostate Biopsy Currently for the MRIultrasound image fusion there is no CPT code to report this. There is no specific code for MRI-fusion targeted biopsy of the prostate. If CPT codes 76942 plus a prostate biopsy code such as 55700 are used to describe this procedure the medically necessary criteria will be applied.
76872 if you perform and document a diagnostic ultrasound 55700 for the biopsy and 76942 for the ultrasound guidance of the biopsy.
Uronav Mr Ultrasound Guided Fusion Biopsy System Philips Healthcare
Prostate Fusion Biopsy Hifu Clinic
Mri Ultrasound Fusion Guided Biopsy For Prostate Cancer University Of Iowa Hospitals Clinics
Cost Consideration In Utilization Of Multiparametric Magnetic Resonance Imaging In Prostate Cancer Hutchinson Translational Andrology And Urology
Princeton Radiology Collaborates With Local Urologists To Offer The Next Generation In Prostate Care Princeton Radiology
Magnetic Resonance Imaging Informed Prostate Biopsies And Coding Guideline Passionate In Knowledge
Uronav Mr Ultrasound Guided Fusion Biopsy System Philips Healthcare
Prostate Fusion Biopsy Hifu Clinic
Mri Ultrasound Fusion Guided Biopsy For Prostate Cancer University Of Iowa Hospitals Clinics
Tips To Start An Mr Us Fusion Biopsy Program Springerlink
Urology Coding And Reimbursement Podcast
Artemis Prostate Fusion Biopsy System Innomedicus
Magnetic Resonance Imaging Informed Prostate Biopsies And Coding Guideline Passionate In Knowledge
No comments:
Post a Comment
Note: Only a member of this blog may post a comment.